For Dentists
At Alliance Periodontics and Implant Dentistry we strive to provide contemporary yet proven treatment options for our patients. Below you can find information on laser assisted periodontal procedures, dental implant treatment and recession coverage procedures. Referring dentists can also become a member of our private Facebook Study Club where we share our day to day clinical cases with the aim to engage in collegial discussion and continue our learning together. Please click here to become a member.
Laser Assisted Procedures
Laser Assisted New Attachment Procedure (LANAP)
The LANAPĀ® protocol uses an Nd:YAG, 1064 wavelength, pulsed laser to remove the inflamed epithelium of the periodontal pocket and achieved an 88% bacterial kill rate. The tooth surface is cleaned conventionally (not using the laser) and the tissues are re-adapted through a laser-assisted formation of a fibrin clot.
The procedure has a 20 year history of development and clinical use, with published human histology to show true regeneration of bone and PDL. A 10 year clinical follow-up study has shown a 1.7% tooth loss rate in patients with periodontitis who have completed the treatment, as compared to 2.6-7.1% of teeth in a classic long term study utilising standard non surgical and surgical periodontal treatments.
The LANAPĀ® protocol has FDA approval to claim that new attachment is achieved. The clinical results are equivalent to flap surgery in terms of pocket depth reduction and clinical attachment level gain. However, the additional benefit is the possibility of regeneration.
The benefit to the patients is that treatment is minimally invasive, there is no fresh bleeding and minimal need for pain relief. The time taken for treatment is about the same as combining scaling/root planing and flap surgery, and the cost for full mouth treatment is similar to the cost of one dental implant.
All patients are still offered the option of conventional treatment
Laser Assisted Treatment of Peri-implantitis
There is no long term data on the treatment of peri-implantitis. The application of the laser for this use is relatively recent. However, the case results are superior to our conventional treatment. The risk to the implant and the patient is low, cost is low and treatment is also minimally invasive.
Dental Implant Gallery
We have recently completed an audit of our dental implant outcomes and are very pleased to report that our success rate is higher than the published average. Our rate of complications is also lower than the published data. We aim to continue to improve these results through working with our referring dentists and prosthodontists.
It is important to note that not all results are aesthetically perfect as this is not achievable in all patients.
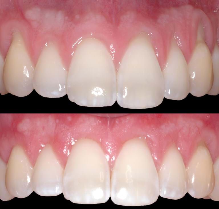
Recession Coverage
Recession coverage can be achieved with periodontal plastic surgery techniques using a Free Gingival Graft (FGG), Connective Tissue Graft (CTG) or using Acellular Dermal Matrix (ADM). If indicated, minimally invasive surgery combined with ADM can be used removing the need to harvest tissue from the patient's palate. This can reduce surgical recovery time with equivalent results.







